Choosing our San Ramon, CA dental office should feel straightforward and reassuring. Our prosthodontist-led team delivers preventive care, cosmetic improvements, implants, and restorative dentistry with clear explanations and a gentle touch. You will receive focused attention, practical options, and a plan that fits your goals, budget, and timeline. Your dentist in San Ramon, CA blends comfort, function, and aesthetics in every treatment plan. Digital imaging and precise planning help us work efficiently while protecting your long-term oral health. We welcome families and coordinate appointments so visits stay convenient.
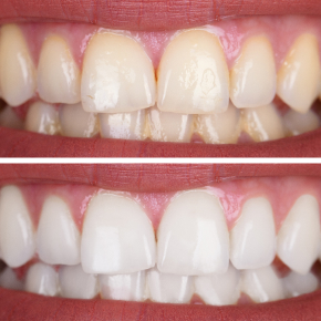
See a dentist in San Ramon, CA for checkups, cleanings, fillings, crowns, and night guards that protect your bite. Our cosmetic services include whitening, bonding, and smile balancing that looks natural and confident. A dentist in San Ramon, California treats gum concerns, repairs chips or fractures, and offers same-day emergency visits when available. If dental anxiety has held you back, your dentist in San Ramon, California can provide nitrous or other sedation options to help you relax. Missing teeth affect how you eat, speak, and smile. After a thorough exam, a dentist in San Ramon, California reviews choices such as single dental implants, implant bridges, and implant-retained dentures. With 3D planning and a cleanable design, your dentist in San Ramon, California aims for strong chewing, stable comfort, and lasting value.
Swelling, pain, or crowding may signal wisdom teeth issues. A dentist in San Ramon, CA evaluates and, when appropriate, removes wisdom teeth with a gentle touch and clear after-care guidance. For sudden toothaches, broken teeth, or infections, call a dentist in San Ramon, California for prompt help and priority scheduling. At your first appointment, a dentist in San Ramon, CA completes an exam, takes any needed images, answers questions, and outlines next steps and costs. Our location makes it easy to see a dentist in San Ramon, CA from Dublin, Pleasanton, Alamo, Walnut Creek, and Castro Valley. Ready to get started? Request an appointment with a dentist in San Ramon, California and feel confident about your smile.












